巴 八 扒 叭 吧 芭 疤 捌 笆 仈 粑 杷 罷 拔 跋 鈸 犮 把 靶 鈀 爸 耙 壩 霸 波 玻 剝 缽 菠 撥 播 岥 砵 啵 袚 鱍 白 伯 帛 泊 勃. 許多人都希望懷孕擁有自己的孩子但澳洲有一名女子梅根Meagan White罹患罕見疾病出生時就沒有子宮因此無法懷孕她54歲的媽媽麻理Maree Arnold雖然已經過了更年期但為了完成女兒的願望決定當代理孕母如今已經懷孕將近30周孫子將在明年一月.
经典73 髓质海绵肾 超声联盟 微信公众号文章阅读 Wemp

健檢發現腎臟長2公分腫瘤超怕醫吐這句話 健康 三立新聞網setn Com

腎臟癌的診治 腎臟超音波與電腦斷層掃描 腎臟 觀測站 隨意窩xuite日誌
The length of the adult kidney is normally 1012 cm and the right kidney is often slightly longer than the left kidney 35The adult kidney size is variable due to the correlation with body height and age 3567.

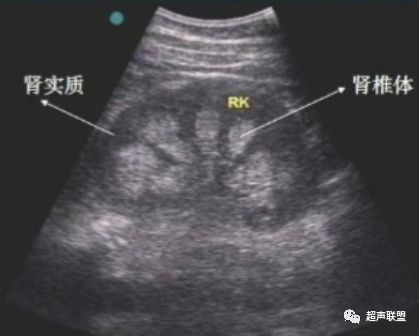
腎臟 超 音波. 腎臟 超音波可以測量腎臟的大小腎實質的厚度腎實質就是長得像豌豆的腎臟的外圍部分包含腎絲球腎小管及腎間質等組織還有表皮的動脈血管等 如果腎臟變小腎實質變薄可能有腎功能變差腎盂腎炎的可能也可以檢查出 腎結石. 超錵 超バラニウム 在無重力空間下以錵和稀有金屬合成製造的新型合金硬度與熔點是錵的數倍以上蓮太郎的義肢皆是用此合金所製作似乎可以解決階段V黃道帶的原腸動物 造價非常的高昂以蓮太郎的義肢和義眼來說就至少有100億日元. Services for this domain name have been disabled.
However normograms for pediatric kidney size are available 789Cortical thickness should be estimated from the base of the pyramid and is generally. 腎臟內科16 陳漢湘腎炎尿毒症高血壓副甲狀腺腫瘤 吳志仁腎炎尿毒症高血壓急性腎衰竭 葉瑞圻腎炎尿毒症高血壓慢性腎臟病的保健與安寧 陳逸洲腎炎尿毒症高血壓透析與體重調整 潘吉豐腎炎尿毒症高血壓腎移植. 連載 免費 玄幻 字數 247235萬 讀過此書 5910524人.
年度最殺 全館下殺5折up精選活動專區Nestle雀巢品牌旗艦奶粉熱銷 狂殺4折up週期購 每期享5回饋奶粉熱銷 狂殺4折up週期購 每期享5回饋各式規格種類與KLIM 克寧Nestle 雀巢Starbucks星巴克-週期購熱門品牌優惠便宜好價格值得推薦.
葉時孟醫師 高雄五甲 前鎮區佑鎮診所 雙ro洗腎中心 醫師 我的腎臟有水

2018 2月 1 4 簡介胎兒腎臟 泌尿系統 超音波結構篩檢 台兒胎兒醫學電子報

腎臟癌的診治 腎臟超音波與電腦斷層掃描 腎臟 觀測站 隨意窩xuite日誌

肾脏超声波检查有什么临床意义 免疫相关肾脏健康科普96 资讯咖

博愛蕙馨醫院 小兒腎臟超音波

手痛檢查出腎臟癌男直呼幸運 其他癌症 癌症 元氣網

腹部超音波之基本操作 An Introduction To Abdominal Ultrasonography 頁面2

亞東紀念醫院腎臟內科